Epidemic

All Articles

Congo
September 22, 2022
Uganda aims to track down 43 contacts of known Ebola patients two days after announcing an outbreak of the contagious…
August 11, 2022
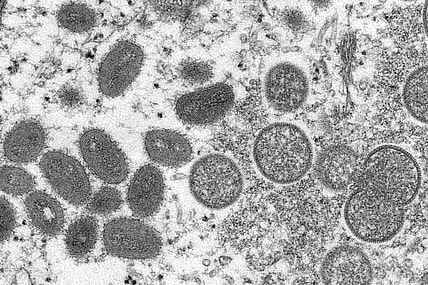
With only a limited global supply of vaccines, authorities are racing to stop monkeypox before it becomes entrenched as a…
June 4, 2022
The CDC said it is trying to increase its work on finding monkeypox infections, and it's likely more cases will…
May 27, 2022
The World Health Organization described the epidemic as "containable," proposing the creation of a stockpile to share vaccines and drugs.
Ebola
December 4, 2018
The World Health Organization says despite U.S. experts being ordered away from the epidemic zone, it's officials can "cover" the…
December 13, 2012
theGRIO REPORT - The connection between genital herpes and HIV remains understated and overlooked. Unfortunately, it’s an important one...
June 21, 2012
According to the Washington Post, the rate of HIV positive, heterosexual, poor African-American females in Washington DC has doubled since…
June 15, 2012
The HIV/AIDS epidemic continues to invade the African-American community and the black church continues to grapple with realities of this…
May 24, 2012
theGRIO REPORT - Not only are there health care costs associated with taking care of Americas growing number of obese…
November 21, 2011
LONDON (AP) - Critics say that the body's aim of wiping out the disease is overly optimistic, however, considering there…
January 14, 2011
VIDEO - A Title One school, Frayser receives federal dollars based on the number of students from low income families…
December 3, 2010
LIMBE, Haiti (AP) - At the three-room clinic near Limbe, in northern Haiti, a handful of doctors and nurses are…